初中生上堂發吽哣 誤吞圓規「攞命針」險穿腸
更新時間:18:05 2026-04-08 HKT
發佈時間:18:05 2026-04-08 HKT
發佈時間:18:05 2026-04-08 HKT
上堂「發吽哣」隨時惹殺身之禍?江蘇揚州一名初中男生,日前在課堂上思考問題時,竟不自覺含著圓規把玩,結果不慎吞下長達1.9厘米的鋒利針頭。由於初中生年紀尚輕且未有禁食,手術風險極高。幸得醫護團隊藝高人膽大,成功取出尖針,化解穿腸危機。
內地「荔枝新聞」報道,事發於3月31日,就讀中學的小劉(化名)原本正在上堂,一時分神,竟吞下原本含在嘴裡的圓規針頭。大驚失色的他即告知老師,隨後被送往揚州市江都人民醫院急症室求醫。

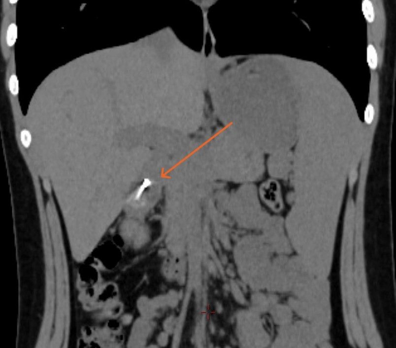
男孩誤吞圓規針,要由醫護團體透過手術取出。《現代快報》

男孩誤吞圓規針,要由醫護團體透過手術取出。《現代快報》

男孩誤吞圓規針,要由醫護團體透過手術取出。《現代快報》
胃內滿佈殘渣 手術風險極高
經過電腦掃描(CT),一條長約1.9厘米的針狀異物已到達其胃部與十二指腸之間。由於針尖極為鋒利,隨時可能刺穿消化道,引發致命的腹膜炎。由於小劉胃內仍有大量未消化的食物,而進行全身麻醉內窺鏡手術,按規定須禁食至少六小時;其次,他年紀尚輕,胃部發育未全,麻醉期間出現吸入性肺炎的風險遠高於成年人。
為免尖針隨着腸道蠕動造成穿孔,醫療團隊決定爭取時間救人。消化內科醫生一面小心翼翼清理胃內殘渣,一面仔細搜索。經過約40分鐘,醫生最終在十二指腸下段成功尋獲並夾出「攞命針」。由於處理及時,小劉並未出現任何併發症,目前已無大礙。
最Hit
公眾投選理大年度十大科研與創新故事 印證大學卓越創科成果 驅動香港醫療創新及AI+發展
2026-04-09 07:30 HKT
居深港漂曬落馬洲「守水塘」筍工 被公司發現後下場竟是... 哭訴:好日子徹底到頭
2026-04-09 14:58 HKT
只收現金=落後? 粥店事頭婆「神回覆」一句話竟獲食客力撐:呢個回應有啲勁 網民引2點力陳現金優勢
2026-04-09 15:32 HKT

















