印度中年漢腹痛難耐 原來生了156粒腎石
更新時間:23:04 2021-12-19 HKT
發佈時間:23:04 2021-12-19 HKT
發佈時間:23:04 2021-12-19 HKT

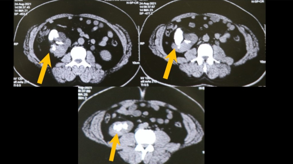
醫生發現病人有大量腎石,兼患有先天性異位腎,手術難度大增。互聯網圖片
印度一位教師腹痛就醫,意外發現有大量腎石。醫生花了3小時,才將156顆結石全數取出,男子術後已康復出院。
患者為一位50歲的教師,因腹痛前往醫院就診,經檢查後發現腎臟中藏有156顆腎結石,此後他亦患有先天性異位腎。醫生評估後,使用腹腔鏡與內視鏡進行手術,耗費3小時才將結石全數取出。
主刀醫生、泌尿科專家莫漢博士表示:「這是我第1次在單個病患身上取出這麼多腎結石。這名病患可能患有腎結石長達2年,只不過一直沒有出現顯著症狀,突發性疼痛迫使他須接受全面性的檢查,才發現腹中藏有大量腎結石」。
莫漢博士補充,「患者患有先天性異位腎,導致腎臟與一般人的正常位置不同,雖腎臟在異常位置並非問題主因,但必定會增加取出結石的難度」。他提到,經審慎評估後,手術團隊決定使用腹腔鏡、內視鏡進行手術,而病人術後已經恢復身體健康,可以正常生活。

從X光片可見,病人有大量腎石(紅圈)。互聯網圖片
最Hit
長生津覆檢開始!長者注意紫色通知書 未如期申報或被暫停津貼( 附最新資產限額+填表須知)
2026-04-03 19:21 HKT
買彩票贏近2500萬元海景豪宅 幸運夫婦住半年「嫌太大」 決定放售套現換樓
2026-04-03 16:45 HKT

















