江蘇女童食道卡異物 手術後竟發現「比卡超」
更新時間:21:51 2020-12-25 HKT
發佈時間:19:17 2020-12-25 HKT
發佈時間:19:17 2020-12-25 HKT

居住在常州的3歲女童歡歡(化名)喜歡小玩具,除了在吃飯及睡覺時需再拿著玩具以外,有時更會含在嘴中。近日,她一邊吃飯一邊玩小玩具,但突然開始劇烈咳嗽。當時,其家人以為她只是被食物嗆着,因此未有太在意。直到凌晨,歡歡再次哭泣及咳嗽,家人才將她送往常州市第三人民醫院治理。歡歡在送院時已憋得滿臉通紅,並因疼痛而不敢嚥口水,但因年齡太小而說不清楚情況,令其父母甚為著急。
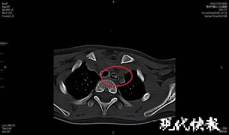
醫生經檢查後發現,有異物被卡在歡歡的食道內。據常州三院耳鼻咽喉科副主任醫師陸曉宇解釋指,食道內有3處最容易引起異物嵌頓的狹窄部位,包括咽與食管的交接處、左主支氣管後方與之交叉處,以及食管通過膈肌的裂孔處。經過急診手術後,醫生終於順利取出卡在歡歡食道的異物,並發現該異物竟然是一個黃色的「比卡超」玩具。其父母此時才發現女兒並非被食物嗆着,因此甚為自責。
陸曉宇提醒,家長應盡量避免讓孩子接觸磁力珠、樂高等體積較細小的玩具,亦需教導孩子切勿將此類玩具放進口腔內。另外,別針、硬幣等小物品亦應妥善收好,並指孩子進食的食物亦應去殼、去籽、去核、去骨,而且在餵食時需盡量避免孩子哭鬧、跑跳、大笑或大叫,以免孩子突然吞咽造成咳嗆。
另外,若發生異物卡喉的情況時,家長不應讓孩子強行吞飯或喝醋,否則會劃傷食道,引起其他疾患。他亦建議,家長可以先嘗試以湯匙或牙刷柄壓住舌頭的前半部,在亮光下仔細觀察其舌根部、扁桃體及咽後壁。若能找到異物,可用鑷子或筷子夾出。如上述方法不奏效,或吞流食後痛感加重、異物感更明顯,應立即到醫院求醫。
最Hit
長生津覆檢開始!長者注意紫色通知書 未如期申報或被暫停津貼( 附最新資產限額+填表須知)
2026-04-03 19:21 HKT
在職家庭津貼2026/27|4月上調入息資產限額 申請資格/津貼金額/一次性額外款項一文睇清
2026-04-04 11:53 HKT

















