【慎入】耳窿慘變蟲窟 台男遭烏蠅飛入耳誕30隻活蛆
更新時間:06:55 2018-06-04 HKT
發佈時間:21:08 2018-06-03 HKT
發佈時間:21:08 2018-06-03 HKT

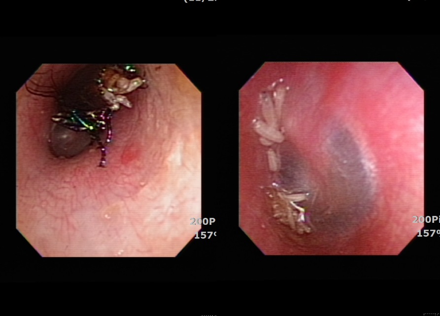
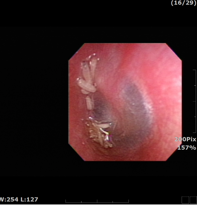
根據當地傳媒報道,該名40歲男子日前發現有烏蠅鑽入左耳,疼痛難耐下,根據網上教學,將嬰兒油灌入耳朵以淹死烏蠅,方法果然立即見效,耳朵的不舒服感隨之消失。惟幾分鐘後,男子左耳突然劇痛難忍,還感到有很多東西在爬行,男子慌忙前往附近醫院求醫。
醫生經檢查後,發現男子耳朵內除了有一隻烏蠅屍體,更有30多隻活蛆在紅腫的耳道內蠕動爬行,醫生連忙用夾子將牠們一一夾出,並滴入藥劑。
主治的耳鼻喉科主治醫師胡皓淳表示,今次飛入男子耳內的烏蠅長1.4厘米,相信是隻母烏蠅,牠被淹死後,活蛆由烏蠅屍身內鑽出,當中每隻分別長0.3至0.5厘米。他指出,蟲類在人類耳內可能亂竄,引發耳痛、耳鳴等。他又指,以油淹死飛入耳內的蚊蟲是正確做法,但建議市民將時間延長至6分鐘左右,才可讓蚊蟲全湮滅殆盡。


最Hit
長生津覆檢開始!長者注意紫色通知書 未如期申報或被暫停津貼( 附最新資產限額+填表須知)
2026-04-03 19:21 HKT
買彩票贏近2500萬元海景豪宅 幸運夫婦住半年「嫌太大」 決定放售套現換樓
2026-04-03 16:45 HKT

















